Bleaching or Whitening

 

Orthodontics today goes beyond just "Straightening teeth when all the permanent ones come in." 
We are also concerned with the growth of the face, early correction, and a health jaw joint.

Children who exhibit crooked teeth, "bucked teeth", a receding jaw or other facial and alignment abnormalities can be seen as early as 6 years old.  When the permanent 4 front teeth have erupted, time becomes of the essence.

Early treatment allows us to not only correct the crooked teeth, but influence to growth of the jaw for better facial appearance.

Today's orthodontic techniques mean fewer extractions and a more satisfactory face and smile.

Adults in their 70's may still be good candidates for orthodontic correction and cosmetic enhancements.  It is probably never too late.

 

You may call for a 
free cursory examination 
and ask questions about your case.  If you decide to continue treatment, orthodontics records examination would be scheduled followed by consultation.

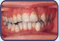
Before

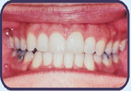
After

     

           

 

 

Copyright 2001 David C. Steele DDS, Inc.                  ICIntuit Design MTEK Hosting