Bleaching or Whitening

 

 

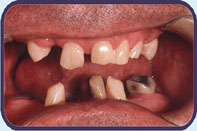
COSMETIC RECONSTRUCTION
Bleaching or Whitening

Dentistry today can offer you a new natural look with the use of highly aesthetic materials.  Enamel shades a available in fillings, crowns, and veneers.

Teeth that are discolored with older silver fillings, age, and tobacco or are crooked can be returned to a "better-than-original" look. 

Whether it is a complete cosmetic reconstruction of your mouth or simply a desire to have tooth colored fillings that are invisible, the new materials are here now.

BEFORE

AFTER

You may call for a 
free cursory examination
and ask questions about your case.  If you decide to continue treatment, a complete examination would be scheduled followed by a consultation.

 

Bleaching or Whitening

Whitening your teeth is one of the most popular and inexpensive treatments for dark, stained, or discolored teeth.  Even though not all teeth bleach with the same result, the results are usually spectacular.

If your teeth are clean and free of periodontal disease, bleaching can be completed for $295 which includes upper and lower.

BEFORE - LOWER
AFTER - UPPER

You may call our office for 
free cursory examination
and we will determine if you are a good candidate for whitening.

 

IMPLANT PROSTHETICS

When a single tooth is removed or all of them are gone, it is often possible to replace the tooth (teeth) with an implant.

An implant is a small titanium root that is placed where the tooth was extracted.  After the surgeon places the new implant, teeth or fixed bridges ma be placed within 4-6 weeks.

Frequent successes include single tooth replacement, multiple tooth replacement or precision connectors for those who wear dentures that no longer stay in.

Implants are very successful, will not decay and seldom have periodontal conditions develop.

BEFORE


AFTERR


This is a definite "YES" for those who want the best.

You may call for a 
free cursory examination
and ask questions about your case.  If you decide to continue treatment, a complete examination would be scheduled followed by a consultation.

  

     

           

 

 

Copyright 2001 David C. Steele DDS, Inc.                 ICIntuit Design MTEK Hosting